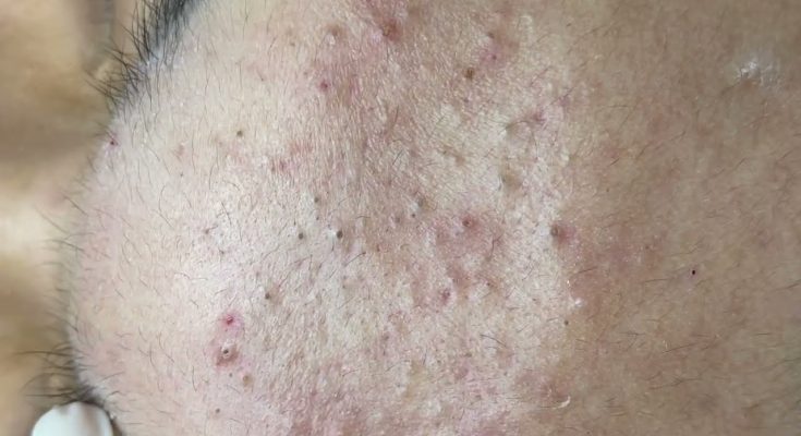
Sac Dep SpaExcellent chunky pops! Approx. 142 pops!!! Relax Every Day SacDepSpa #760 November 19, 2025November 19, 2025 - by hippo010203 - Leave a Comment