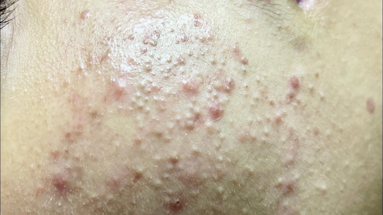
Chung Vo SpaYou are amazing! You really get it all out. Satisfying video with Chung Vo Spa | 170 February 10, 2026February 10, 2026 - by hippo010203 - Leave a Comment