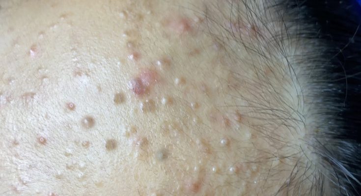
Thuy TruongThis skin is so ripe and ready to give up its bounty. Nice work. Satisfying Relaxing with Sac Dep Spa #401 February 18, 2026February 18, 2026 - by hippo010203 - Leave a Comment