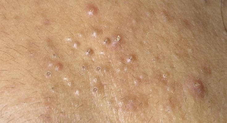
Thuy TruongThe pop at 5:17 is so great!!! Satisfying Relaxation with Thuy Truong Spa #395 February 22, 2026February 22, 2026 - by hippo010203 - Leave a Comment